Vorhofflimmern
Vorbericht
Vorgestellt wurde ein 22-jähriger Warmblutwallach zur Therapiekontrolle einer Herz-Kreislauferkrankung. Bei dem Wallach wurde ein halbes Jahr zuvor bereits Vorhofflimmern mit Dimensionsveränderungen, sowie geringgradige Klappeninsuffizienzen der Aorten-, Trikuspidal- und Mitralklappe festgestellt. Das Pferd erhielt eine medikamentöse Therapie. Klinisch hat sich der Allgemeinzustand des Wallachs in der verstrichenen Zeit deutlich verbessert.
Spezielle Herz-/Kreislauf-Untersuchung
Es wurde erneut eine klinische, elektro- und echokardiographische Untersuchung des Herzens sowie eine dopplerechokardiographische Untersuchung der Herzklappen durchgeführt. Auf eine elektrokardiographische Untersuchung unter Belastung wurde aufgrund der Befunde und der Tatsache, dass das Pferd nicht mehr geritten wird, verzichtet.
Im Rahmen der klinischen Untersuchung wurde sowohl rechts- als auch linksseitig ein systolisches Herzgeräusch (während der Kontraktion) geringer Lautstärke festgestellt. Weiterhin lag eine absolute Herzarrhythmie mit Pulsdefiziten, jedoch einer Herzfrequenz im Referenzbereich vor. Es lagen keine Hinweise auf Stauungserscheinungen vor.
In der elektrokardiographischen und echokardiographischen Untersuchung zeigten sich die geringgradige Mitralklappeninsuffizienz (Schlussunfähigkeit der Herzklappe zwischen linkem Vorhof und linker Herzkammer), die geringgradige Trikuspidalkappeninsuffizienz (Herzklappe zwischen rechtem Vorhof und rechter Herzkammer), die geringgradige Aortenklappeninsuffizienz (Herzklappe zwischen linker Herzkammer und Aorta, Abb. 2) und das Vorhofflimmern (Herzarrhythmie) als unverändert. Die Herzdimensionsveränderungen liegen weiterhin vor, sind jedoch unverändert bis geringgradig verbessert (Abb. 1, 3).
Abb. 1: 4-Kammerblick, bei einer Eindringtiefe von 30 cm (sichtbare kugelige Herzform infolge der Dimensionsveränderungen)
Abb. 2: Aortenklappeninsuffizienz, sichtbar als rötliche Farbfahne (rechte kaudale lange Achse)
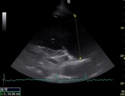
Abb. 3: deutliche Dimensionsveränderung des linken Vorhofes in der linken kaudalen langen Achse (Referenzwert für Warmblüter: 13,5 cm)
Diagnosen
Im Rahmen der Untersuchungen wurden folgende Diagnosen gestellt:
- Vorhofflimmern einhergehend mit zurzeit stabilen Dimensionsveränderungen
- geringgradige Aortenklappeninsuffizienz
- geringgradige Mitralklappeninsuffizienz
- geringgradige Trikuspidalklappeninsuffizienz
Beurteilung und Therapie
Das Vorhofflimmern entsteht infolge einer Reizbildungsstörung des Vorhofmyokards (Vorhofmuskulatur), bei der die Herzvorhöfe aufgrund ihrer lediglich schwachen fibrillären Bewegungen ineffektiv zur Herzkammerfüllung beitragen können. Neben Hypoxien bei respiratorischen Erkrankungen (Sauerstoffmangel des Herzmuskels durch Lungenerkankung), tritt Vorhofflimmern auch neben weiteren Ursachen ohne auslösende Ursache auf. Bei dem vorgestellten Wallach liegen jedoch Hinweise auf eine zusätzlich vorliegende Atemwegserkrankung vor, die eine mögliche Ursache darstellen könnten.
In Ruhe verursacht diese Störung meist keine Störung der Kreislauffunktion, da hier die Vorhofkontraktion nur einen geringen Effekt auf die Kammerfüllung hat. Unter Belastung jedoch hat die Vorhofkontraktion eine größere Bedeutung zur Kammerfüllung, hier wird bis zu einem gewissen Grad das verminderte Schlagvolumen des Herzens mit einer höheren Herzfrequenz kompensiert. Bei dem vorgestelltem Pferd liegen jedoch zusätzlich bereits Hinweise auf einer Volumenüberladung der Kammern, sowie Rückflüsse an drei Herzklappen vor. Diese können eine Folge des Vorhofflimmerns sein, jedoch auch unabhängig davon entstanden sein.
Zurzeit erscheint die Herzerkrankung des Wallachs noch kompensiert, jedoch kann infolge der Befunde eine Gefährdung des Wallachs und seinem Reiter beim weiteren Einsatz als Reitpferd nicht ausgeschlossen werden. Langfristig kann nicht vorhergesagt werden, wann und ob sich die hier erhobenen Befunde an den Herzklappen leistungsbeeinflussend auswirken bzw. ob und wann eine Dekompensation eintritt. Zurzeit liegen keine Hinweise auf eine drohende Dekompensation hin. Die kardialen Messwerte sind stabil, bzw. geringgradig verbessert. Die medikamentöse Therapie sollte beibehalten werden.
Der vorgestellte Wallach sollte aus Sicherheitsgründen nicht mehr geritten werden. Eine leichte Belastung im Schritt an der Hand wirkt sich jedoch positiv auf das Herz-Kreislaufsystem aus. Sollte sich ein Leistungsabfall oder eine Veränderung des Allgemeinbefindens einstellen und keine eindeutige Zuordnung der Symptomatik zu einem anderen Organsystem als dem des Herz-Kreislaufapparats möglich sein, ist eine erneute kardiologische Untersuchung zeitnah zu dem Auftreten der Symptome empfehlenswert.
Therapie
Zur Herzentlastung erhält der Wallach eine medikamentöse Therapie mit blutdrucksenkenden Mitteln, unter anderem mit ACE-Hemmern zur Entlastung des Herzens.
Weiterhin hat sich in einigen Fällen die zusätzliche Gabe von Mikronährstoffen als hilfreich erwiesen.





