Sommerekzem beim Isländer
Vorbericht
Der sechsjährige Isländer-Wallach befindet sich erst seit kurzem in Besitz. Zum Zeitpunkt des Kaufes wurden laut Besitzerangaben, bis auf eine größere Narbe im Bereich des Widerristes, keine Hauterkrankungen festgestellt. Das Pferd wurde drei Monate zuvor aus Island importiert.
Klinische Untersuchung
Bei der Erstuntersuchung zeigte das Pferd ein geringgradig gestörtes Allgemeinbefinden. Die Schleimhäute waren blaßrosa mit einer kapillären Füllungszeit von >2 sec. Die Herzfrequenz betrug 44 Schläge pro Minute und die Atemfrequenz 16 Atemzüge pro Minute.
Im Bereich des Mähnenkamms (Abb. 1), der Schweifrübe (Abb. 2), im Axillarbereich (Abb. 3) und im Bereich der Kruppe waren multiple Hautaffektionen sichtbar.
Die betroffenen Areale waren gekennzeichnet durch eine vermehrte Hautschuppung, oberflächliche Erosionen, Haarbruch, Alopezie und insbesondere im Bereich des Mähnenkamms durch eine Hyperkeratose. Der Fettgehalt der Haut war als normal zu bewerten, es lagen eine Hypersensibilität der Haut und ein hochgradiger Pruritus vor.
Im Bereich des Widerristes befand sich eine große Narbe und die Kontur des Widerristes wies einen geringgradig unregelmäßigen Verlauf auf.
Abb. 1
Hautaffektionen im Bereich des Mähnenkamms
Abb. 2
Hautaffektion im Bereich der Schweifrübe und der Kruppe
Abb. 3
Alopezie und vermehrte Schuppenbildung im Axillarbereich
Abb. 4
Nahaufnahme der Narbe im Bereich des Widerristes
Labordiagnostische Untersuchung
Sowohl die mykologische, als auch die parasitologische Untersuchung war negativ.
Bildgebende Untersuchung
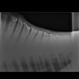
In der röntgenologischen Untersuchung des Widerristes wurde im Bereich der Tuberositas processus spinosi der Knorpelkappe des T5 ein geringgradig disloziertes Frakturfragment geringer Größe festgestellt (Abb. 6). Ein weiteres Frakturfragment geringer Größe und ohne Dislokation wurde im Bereich der Knorpelkappe des T7 dargestellt. Die Tuberositates processi spinosi der Wirbel T6 und T8 zeigten reaktive Konturveränderungen. In der Unterhaut stellte sich eine Verschattung im Bereich des Narbenzuges dar.
Abb. 5
Frakturfragmente geringer Größe im Bereich der Tuberositates processi spinosi der Knorpelkappen des T5 und T7
Abb. 6
deutliche Verschattung in der Unterhaut
Diagnose
- Hypersensitivitätsreaktion auf Insektenstiche (Sommerekzem)
- geringgradig disloziertes Frakturfragment im Bereich der Tuberositas processus spinosi der Knorpelkappe des T5
- Frakturfragment geringer Größe, ohne Dislokation im Bereich der Knorpelkappe des T7
Therapie des Sommerekzems beim Pferd
Der Besitzer erhält folgende Therapie- und Nachbehandlungsanweisungen:
Das Pferd sollte nur mit einer Ekzemerdecke (die auch Kopf und Bauch bedeckt) auf die Weide gelassen werden. Zusätzlich sollte ein pyrethroidhaltiges Insektenspray (Wirkstoff Pyrethroid macht die Insekten bewegungsunfähig) mit Repellentwirkung (abstoßende Wirkung auf Insekten, z.B. Centaura, Wellcare usw.) aufgetragen werden. Auch der nächtliche Weidegang hat sich bei machen Tieren als vorteilhaft erwiesen. Das Pferd sollte in der Hauptflugphase der Insekten aufgestallt werden. Außerdem empfiehlt es sich, Tränkwasser so zur Verfügung zu stellen, dass die Mücken keinen Zugang zu diesem haben, da ein feuchtes Biotop ideale Bedingungen für den Fortpflanzungskreislauf der Culicoides bietet.
Der Isländer-Wallach sollte täglich geritten werden.
Das Pferd sollte getreidearm, eiweißarm und rauhfaserreich gefüttert werden. In der Regel genügt die alleinige Heufütterung und stundenweises Grasen (nicht länger als 4 Stunden). Zusätzlich sollte ein spurenelementhaltiges Zusatzfuttermittel, was reich an bioverfügbaren Zink, Mangan und Biotin ist zugefüttert werden.
Vorsicht bei schimmeligem Heu! Pferde mit Sommerekzem können auch allergisch auf Schimmelpilzsporen reagieren. Daher bitte auf einwandfreie Futterqualität achten!
Als medikamentöse Therapie wäre eine ausschleichende Cortisontherapie zur Reduzierung des Juckreizes möglich. Bei dieser Therapie ist jedoch in seltenen Fällen eine Hufrehe als Nebenwirkung zu beobachten.
Die lokale Anwendung von Ichtyolpräparaten hat sich in manchen Fällen als hilfreich erwiesen.
Nachkontrolle
Ein Allergietest (Zellstimulationstest: FIT-Test oder Equine Cast-Test) kann die Diagnose Sommerekzem (Hypersensitivität auf Insektenstiche) sichern.
Bei einem Sommerekzem handelt es sich in erster Linie um eine allergische Reaktion auf den Stich der Culicoides-Mücke
Allgemeine Infos zum Sommerekzem
Durch den ausgelösten Juckreiz kommt es beim Kratzen oder Scheuern des Pferdes zu starken Verletzungen der Haut sowie zu einer Hypersensibilität. Außerdem können durch das Kratzen Mikroläsionen entstehen, die eine Eintrittspforte für Pyodermie-Erreger darstellen können und somit eine bakterielle Sekundärinfektion ermöglichen.
Vor einigen Jahren waren hiervon hauptsächlich Robustrassen betroffen, zum jetzigen Zeitpunkt erkranken aber auch Warmblüter, jedoch eher selten Sport- und Rennpferde.
Das Sommerekzem ist ein multifaktorielles Geschehen, bei dem auch die Einflussfaktoren Bewegungsmangel und Nährstoffüberversorgung, sowie Spurenelementmangel eine Rolle spielen. Studien haben gezeigt, dass sich der Krankheitsgrad durch eine Zinksupplementation und durch Vermeidung einer Eiweißüberversorgung deutlich reduzieren lies. Um dies zu realisieren sollten die Tiere nicht länger als vier Stunden täglich Gras aufnehmen. Auf die Kraftfutterfütterung sollte verzichtet werden.
Der wichtigste Faktor in der Therapie ist die Vermeidung der Ursache. Um den speziellen Auslöser zu identifizieren, sollte ein Zellstimulationstest (Allergie-Test) durchgeführt werden.
Die Pferde müssen durch Pyrethroide, Ekzemerdecken, Nachtweide und ähnlichem vor Insektenstichen geschützt werden.
Als lokale Therapie bieten sich Ichtyolpräparate und Harnstoffpräparate an. Manche Patienten vertragen Produkte auf öliger Basis schlecht, so dass besser Produkte auf wässriger Basis eingesetzt werden sollten.
In leichten bis mittelschweren Fällen ist der Einsatz im Reitsport gut möglich. Bei schweren Verläufen mit starkem Juckreiz und Hautveränderungen kann die Reitbarkeit jedoch deutlich eingeschränkt sein.









