Sandkolik
Die 11-jährige Stute „Carla“ (Name geändert) wurde regelmäßig beim Sand lecken auf dem Paddock beobachtet. Bevor sie uns vorgestellt wurde, hatte sie bereits rezidivierende milde Koliksymptomatik, Durchfall und Leistungsschwäche. Am Tag der Vorstellung wies sie ein ggr. gestörtes Allgemeinbefinden und eine ggr. reduzierte Darmperistaltik auf.
Die Verdachtsdiagnose liegt hier auf Sandkoliken.
Symptome einer Sandkolik:
- leichte bis schwere Kolikanzeichen
- Ursache: Reizung der Darmschleimhaut durch Sandablagerungen
- evtl. milde wiederkehrende Koliken
- vorherige Beobachtung von Sandlecken o.ä.
Ursachen einer Sandkolik:
- Aufnahme Sand durch staubiges/sandiges Raufutter
- Lecken des Sandes auf Sandpaddocks, abgefressene Weiden o.ä. durch bspw. Nährstoffmangel
Weiterführende Untersuchungen: Sandaufschwemmung
Wir Entnahmen der Stute eine Kotprobe aus dem Enddarm und mischten die Probe mit Wasser. Nach einigen Minuten konnten wir einen Absatz von Sand im Rektalhandschuh feststellen.
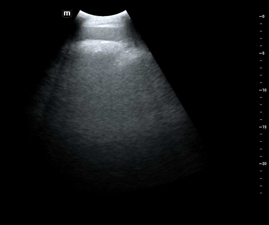
Weiterführende Untersuchungen: Ultraschall
Mithilfe des Ultraschalls konnten wir vermehrt Sandablagerung im Dickdarm nachweisen.
Weiterführende Untersuchungen: Röntgen
Die röntgenologischen Aufnahmen konnten die Diagnose durch darstellbare Sandablagerungen im DIckdarm bestätigen.
Diagnose: Sandkolik
Therapie:
Bei akuten Koliken verwenden wir eine Kombination aus verschiedenen Behandlungsmöglichkeiten:
- Gabe von relaxierenden und schmerzlindernden Medikamenten
- Eingabe von Lösung mit Flohsamenschalen, Glaubersalzen und Abführmittel über Nasenschlundsonde
- danach Fütterung von aufgequollenen Flohsamenschalen/Flohsamenpellets und Glaubersalzen über mehrere Wochen
- erste Kontrolluntersuchung nach 4-6 Wochen
Verlauf:
- 1. Kontrolluntersuchung: geringere Menge Sand im Dickdarm darstellbar; keine vollständige Besserung
- weitere Fütterung von Flohsamenpellets und flüssigem Mash
- erneute Ultraschalluntersuchung nach zwei Wochen
Bei Verdacht auf Sandaufnahme ist es möglich eine sonographische Vorsorgeuntersuchung durchzuführen. Diese ist minimalinvasiv und schmerzfrei!
Fotogalerie










