Prämaturität beim Fohlen
Anamnese
Das vorgestellte, neugeborene Stutohlen wurde morgens gegen 5:00 Uhr nach einer Zwillingsgeburt auf der Weide gefunden. Es war lebensschwach und zeigte einen mangelhaft ausgeprägten Saugreflex. Das zweite Fohlen war bereits verstorben.
Klinische Untersuchung
Bei der Erstuntersuchung zeigte das Fohlen ein mittelgradig gestörtes Allgemeinbefinden. Die Schleimhäute waren rosarot mit einer kapillären Füllungszeit von 4 sec. Die Herzfrequenz betrug 128 Schläge pro Minute und die Atemfrequenz 40 Atemzüge pro Minute. Das Fohlen hatte zu diesem Zeitpunkt auf allen vier Quadranten eine gute Darmperistaltik. Die Stirnlinie stellte sich konkav dar, das Fohlen besaß relativ langes seidiges Fell und eine geringe Körpergröße (35 kg KM). Es zeigte sich lebensschwach, mit einem mangelhaft ausgeprägten Saugreflex. In der digitalen rektalen Untersuchung konnte fester Kot im Rektum palpiert werden.
Labordiagnostische Untersuchung
Das kleine Blutbild zeigte eine Leukozytose. Die Immunglobulin-G-Konzentration im Serum lag deutlich unterhalb des im Referenzbereiches mit < 400 mg/dl (>800 mg/dl). In der serologischen Untersuchung des Harnstoffwertes, des Kreatiningehaltes und der Elektrolytkonzentration konnte keine Referenzwertabweichung festgestellt werden. Die arterielle Blutgasanalyse zeigte eine deutliche Hypoxämie (verminderte Sauerstoffversorgung).
Sonographische Untersuchung
In der sonographischen Untersuchung des Abdomens wurde keine vermehrte freie Flüssigkeit festgestellt. Die Harnblase wurde kontinuierlich und gut gefüllt dargestellt. Die ventral (bauchwärts) darstellbaren Darmanteile zeigten eine gute Motilität.
Röntgen
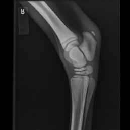
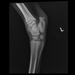
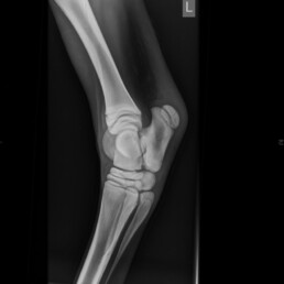
In der röntgenologischen Untersuchung der Tarsi und Carpi wurde eine hypoplastische Ossification Grad 2-3 festgestellt (schwach entwickelte Verknöcherung).
Abb. 2 – 0° rechte Vordergliedmaße: inkomplette Ossifikation der Carpalknochen Grad 2-3
Abb. 3 – 0° linke Vordergliedmaße: inkomplette Ossifikation der Carpalknochen Grad 2-3
Abb. 4 – 90° rechte Hintergliedmaße: inkomplette Ossifikation der Tarsalknochen Grad 2
Abb. 5 -90° rechte Hintergliedmaße: inkomplette Ossifikation der Tarsalknochen Grad 2
Diagnose
Im Rahmen der Untersuchungen wurde folgende Diagnose gestellt:
- Dysmaturität, einhergehend mit einem hochgradigen Immunglobulinmangel und einer hypoplastischen Ossifikation
Therapie
Aufgrund eines Immunglobulinmangels erhielt das Fohlen eine Bluttransfusion und eine systemische Antibiose. Zudem erhielt es ein Medikament zum Schutz der Magenschleimhaut. Zusätzlich erhielt es mehrmals ein kommerzielles Phosphatklistier.
Verlauf
Nach vier Wochen wurden Kontrollaufnahmen der Gliedmaßen angefertigt. Hier ist im Vergleich zu den vorherigen Aufnahmen ein deutliches Voranschreiten der Ossifikation zu erkennen, jedoch ist die Ossifikation weiterhin unvollständig (Abb. 3 und Abb. 4). An der rechten Vordergliedmaße besteht zudem ein Carpus valgus mit einer Achsenabweichung von 10°.
Abb. 3 Tarsus links 90°: Hypoplastische Ossifikation Grad IV
Abb. 4 Carpus links 0°: Hypoplastische Ossifikation Grad IV
Diskussion
Während der Gravidität (Trächtigkeit) ist eine kontinuierliche Verbindung der Mikrokotyledonen zwischen Endometrium (Uterusschleimhaut) und Plazenta notwendig, um einen effektiven Nährstofftransport zwischen Fetus und Plazenta zu gewährleisten. Bei Zwillingsträchtigkeiten besteht nun die Problematik, dass die Endometriumsfläche für den Austausch nicht ausreicht, da die beiden Plazenten aneinanderstoßen. Durch diesen Umstand wird ein Großteil der Aborte von Zwillingsträchtigkeiten erklärt. Nur in seltenen Fällen werden die Tiere problemlos geboren und wachsen zu normalen adulten Tieren heran. In den meisten Fällen handelt sich jedoch um dysmature Fohlen, deren Entwicklung deutlich langsamer vonstatten geht, da keinem von beiden die notwendige Plazentafläche für die Entwicklung zur Verfügung steht. Dies trifft ebenfalls für das obengenannte Fohlen zu, welches deutliche Anzeichen einer Dysmaturität aufweist.
Fohlen mit Dysmaturität können bei milder Ausprägung und intensiver tierärztlicher Betreuung durchaus im Erwachsenenalter ein normales Leben führen, wenn sich Organe, Sehnen und Skelett ausreichend stabilisieren. In schwereren Fällen mit anhaltenden Fehlentwicklungen oder Organschäden ist die Prognose vorsichtig bis ungünstig. Die spätere uneingeschränkte Einsetzbarkeit im Reitsport ist dann oft nicht möglich.









