Flüssigkeit in der Brusthöhle - Pleuraerguss beim Pferd
Vorbericht
Vorgestellt wurde eine 14-jährige Stute aufgrund Schwellungen vor und unter der Brust. Die Stute zeigte schon seit einiger Zeit eine allgemeine Mattheit, gelegentlichen Husten und seit kurzem erschwerte Atmung.
Untersuchungsbefunde
Klinische Untersuchung:
- Die klinische Untersuchung ergab ein sowohl rechts-, als auch linksseitig holodiastolisches Herzgeräusch mittlerer Lautstärke (Grad 3/6), also ein Herzgeräusch während der gesamten Emtspannungsphase des Herzens.
- Bei der Schwellung an der Brust handelte es sich um ein hochgradiges Vorderbrust- und Unterbrustödem. Außerdem waren die Buglymphknoten palpatorisch deutlich vergrößert.
- Die Stute hustete spontan, hatte eine physiologische Rektaltemperatur und keinen auffälligen Schmerz im Brustbereich.
- Im Bereich der Trachea wurden knisternde Atemgeräusche festgestellt, während beidseits im Bereich der Lungenfelder keine Atemgeräusche hörbar waren.
- Es wurde perkutorisch eine horizontale Dämpfungslinie zwei handbreit oberhalb der Buggelenke festgestellt.
Elektro- und echokardiographische Untersuchung
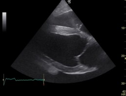
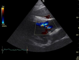
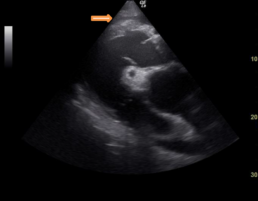
Es wurde eine mittelgradige Aortenklappeninsuffizienz festgestellt. (Abb. 1+2)
Abb.1: 4-Kammerblick rechts
Abb.2: RKDLA mittelgradige Aortenklappeninsuffizienz
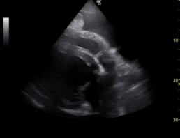
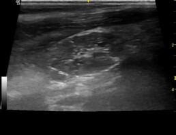
Ebenso lag ein hochgradiger Pleuraerguss vor.
Abb. 3: Herzsilhouette mit Pleuraerguss
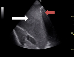
Abb. 4: Pleuraerguss (roter Pfeil – Lungengewebe, weißer Pfeil – Erguss)
Zudem lag ein geringgradiger Perikarderguss (Abb. 5) und zudem sonographisch vergrößerte Buglymphknoten vor (Abb. 6).
Abb. 5: RKRA- ggr. Perikarderguss (Pfeil)
Abb. 6: Darstellung Buglymphknoten rechts
Diagnose
Es wurde eine hochgradige Pleuritis vermutlich aufgrund neoplastischen Geschehens (vor allem Lymphomerkrankungen) festgestellt.
Ebenso konnte ein geringgradiger sekundärer Perikarderguss und eine mittelgradige Aortenklappeninsuffizienz diagnostiziert werden.
Therapie
Für die Wahl der richtigen Therapie werden weitere Untersuchungen zur Abklärung der Ursache angeordnet. Es wird ein neoplastisches Geschehen oder auch eine Pleuropneumonie in Betracht gezogen.
Als therapeutische Maßnahmen kommen Thoraxdrainagen, Einbringen von Streptokinase oder je nach Schwere der Erkrankung auch die Euthanasie in Betracht.
Diagnose gestellt, und nun?
Ein Pleuraerguss erfordert in jedem Fall eine tierärztliche Behandlung, da es sich um eine sehr ernstzunehmende Erkrankung handelt.
Zunächst muss die Ursache für die Flüssigkeitsansammlung in der Brusthöhle ermittelt werden. Je nachdem, welche Ursache für den Pleuraerguss verantwortlich ist, werden weitere behandelnde Maßnahmen, angepasst auf die Bedürfnisse Ihres Pferdes, eingeleitet. Meist gehen dieser Erkrankung gravierende Krankheiten, wie eine Pleuropneumonie (Shipping fever) oder auch tumoröse Vorerkrankungen, voraus.
Mit Hilfe einer Thoraxdrainage lässt sich die angesammelte Brusthöhlenflüssigkeit ablassen. Der Pleuraspalt wird so entlastet und die Lunge kann sich wieder voll ausdehnen. Sie ist umso erfolgreicher, je früher sie durchgeführt wird.
Eine Behandlung mit Streptokinasen ist ebenso denkbar. Die Streptokinase ist ein Protein, das aus hämolytischen Streptokokken der Gruppe C gewonnen wird. Das Arzneimittel wird intravenös verabreicht und unterstützt die Heilung Ihres Pferdes. Streptokinasen eignen sich allerdings nicht für jede Behandlung, da sie nicht in allen Fällen erfolgsversprechend sind. Zudem sind sie sehr kostenintensiv.
Zusätzlich können schmerzlindernde und entzündungshemmende Medikamente verabreicht werden.
Leider ist zu bedenken, dass sich eine Behandlung des Pleuraergusses als sehr schwierig gestaltet und die Prognose für eine vollständige Genesung vorsichtig bis schlecht ist.
Im schlimmsten Fall, wenn der Pleuraerguss zu spät entdeckt wird, kommt ebenso die Erlösung des Tieres durch Euthanasie in Betracht.
Wenn der Verdacht auf einen Pleuraerguss besteht, ist schnelles Handeln unbedingt erforderlich, um Ihr Pferd so gut wie möglich behandeln zu können und Schlimmeres zu verhindern.
Nach einer Behandlung muss Ihr Pferd auf jedem Fall in nächster Zeit ausreichend geschont werden. Darüber hinaus ist es ratsam, Ihr Pferd in einer gut belüfteten und sauberen Umgebung zu halten. Wir werden Ihnen selbstverständlich mitteilen, was Sie nach einer Behandlung des Pleuraergusses Ihres Pferdes beachten müssen. Gerne stehen wir Ihnen jederzeit für alle Fragen offen!
Eine Erkrankung des Thorax mit Pleuraerguss kann viele verschiedene, schwerwiegende Ursachen haben.
Wie im Fallbericht beschrieben, können Erkrankungen des Herzens, wie eine Aortenklappeninsuffizienz oder eine Herzinsuffizienz ursächlich sein. Darüber hinaus kann ein Aortenaneurysma, eine Lungenembolie, hochgradige Pneumonien oder auch eine myeloische Leukämie, demnach eine bösartige Erkrankung des blutbildenden Systems zu einem Pleuraerguss führen. Ebenso kann eine intrathorakale Gefäßruptur, zum Beispiel nach einer Schlagverletzung, eine Flüssigkeitsansammlung in der Brusthöhle hervorrufen.
Sie können einem Pleuraerguss vorbeugen, indem Sie Ihr Pferd intensiv beobachten und bei auffälligen Symptomen schnellstmöglich einen Tierarzt zu Rate ziehen.
Unterschiedliche Erkrankungen, wie Herzinsuffizienzen, Lungenentzündungen oder ebenso Lungenembolien können zu einem Pleuraerguss führen. Werden diese Erkrankungen frühzeitig entdeckt und behandelt, kann ein Ansammlung von Flüssigkeit in der Pleurahöhle Ihres Tieres verhindert werden. Aus diesem Grund ist es unerlässlich, Ihr Pferd bei auffallenden Symptomen von einem Tierarzt untersuchen zu lassen.
Insbesondere Atemschwierigkeiten, wie Kurzatmigkeit oder Husten können ein Indiz sein.
Nach einer erfolgreichen Behandlung des Pleuraergusses muss eine Therapie der Grunderkrankung erfolgen. Dies geschieht individuell angepasst an die Bedürfnisse Ihres Pferdes, je nach Vorerkrankung.
Leider ist die Prognose für einen Pleuraerguss vorsichtig bis sehr schlecht, da dieser Erkrankung meist schwerwiegende Ursachen vorausgehen und die Behandlungsmöglichkeiten begrenzt sind.









