Perikarditis bei einer Warmblutstute
Zweiter Fall
Unsere Patientin „Lavinia“ – eine 12-jährige Warmblutstute – wurde uns wegen reduziertem Allgemeinbefinden und deutlichem Leistungsabfall vorgestellt. Schon seit einiger Zeit wirkte sie apathisch, fraß schlechter und zeigte beim Training keine gewohnte Kondition mehr.
Die Diagnose: Perikarditis – eine Entzündung des Herzbeutels.
Symptome: Woran erkennen Pferdebesitzer eine Perikarditis?
Die Symptome sind oft unspezifisch, entwickeln sich aber schleichend. Typische Anzeichen einer Herzbeutelentzündung beim Pferd sind:
- Leistungsabfall und Apathie
- Fressunlust
- Erhöhte Herzfrequenz
- Gedämpfte Herztöne beim Abhören
- Sichtbarer Venenpuls an der Halsvene
- Schwacher, schwer tastbarer Puls
- Bei großem Erguss: Atemnot oder Fieber
Genau diese Auffälligkeiten zeigten sich bei Lavinia.
Ursachen: Wie entsteht eine Perikarditis beim Pferd?
Die Erkrankung kann infektiös oder nicht-infektiös entstehen:
- Infektionen durch Bakterien oder Viren (über das Blut oder aus benachbarten Organen wie der Lunge)
- Nicht-infektiöse Ursachen: Tumoren, Verletzungen, Komplikationen nach Operationen
Welche Ursache im Einzelfall zugrunde liegt, muss durch gezielte Untersuchungen abgeklärt werden.
Diagnose: Wie wurde die Perikarditis festgestellt?
Bei Lavinia ergaben die Untersuchungen:
- Klinische Untersuchung: gestörtes Allgemeinbefinden, erhöhter Puls, gedämpfte Herztöne
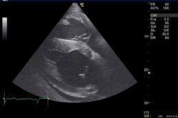
- Ultraschall des Herzens: deutlicher Herzbeutelerguss, Bewegungsstörungen des rechten Herzens
- Blutuntersuchung: veränderte Entzündungswerte
- EKG: Herzrhythmusauffälligkeiten
- Punktion des Herzbeutels: zur Gewinnung von Ergussmaterial und möglichem Erregernachweis
Therapie: Behandlung einer Perikarditis beim Pferd
Da die Prognose vorsichtig bis schlecht war, wurde ein palliativer Therapieversuch gestartet:
- Antibiotika und Entzündungshemmer
- ACE-Hemmer zur Blutdrucksenkung
- Diuretika zur Entlastung des Herzens
- Kontrolle durch regelmäßige Verlaufskontrollen im Ultraschall
Eine Punktion des Herzbeutels zur weiteren Abklärung wurde empfohlen, birgt jedoch immer ein Risiko.
Verlauf & Prognose
Nach 6 Monaten zeigte sich im Ultraschall weiterhin ein deutlicher Herzbeutelerguss. Die Prognose bei einer Perikarditis ist meist vorsichtig bis ungünstig, da die Erkrankung chronisch verlaufen oder sich verschlimmern kann.
Das Ziel der Behandlung ist in solchen Fällen die Linderung der Symptome und eine möglichst gute Lebensqualität für das Pferd.
Fazit: Herzprobleme beim Pferd frühzeitig erkennen
Eine Perikarditis beim Pferd ist eine seltene, aber schwerwiegende Erkrankung. Da die Symptome zunächst unspezifisch sind, werden sie leicht übersehen.
Für Pferdebesitzer gilt: Leistungsabfall, Apathie, sichtbarer Venenpuls oder Atemnot sollten immer ernst genommen werden und tierärztlich untersucht werden.



