EMS - Metabolisches Syndrom
– rasche Gewichtszunahme und Leistungsabfall
Unsere Patientin „Charlotte“ (Name geändert) – eine 18 Jahre alte Haflingerstute – wurde uns vorgestellt, weil sie seit einigen Jahren ödematisierte Fettpolster an Schulter, Schwanz und Schweif aufwies. 2025 kam eine schnelle Zunahme trotz täglichem Training und keiner Futterveränderung hinzu. Darüber hinaus zeigte sie eine geringe Leistungsbereitschaft.
Verdachtsdiagnose: Equines Metabolisches Syndrom (EMS).
Symptome: Woran erkennen Pferdebesitzer EMS?
- klassische Fettdepots bspw. an Mähnenkamm, Schulter, über den Augen und am Schweifansatz
- erhöhte Hufrehe-Gefahr
- reduzierte Leistungsbereitschaft
- Zyklusveränderungen aufgrund des hormonell aktiven Fettes
Bei Charlotte konnten mehrere Fettdepots und eine reduzierte Leistungsbereitschaft festgestellt werden.
Ursachen: Wie entsteht EMS?
- genetische Veranlagung insb. bei robusten Rassen, z.B. Haflinger.
- Übergewicht, zu viel energiereiches Futter
- Bewegungsmangel
- Störung des Insulinwechsels
Diagnose: Wie wurde die Erkrankung festgestellt?
Es wurden weitere Untersuchungen vorgenommen:
- ACTH-Test aufgrund von Cushing-Verdacht -> Wert nicht im auffälligen Bereich
- Insulin-, Glukosewerte im Normalbereich
- wiederholt stark erhöhte Leberwerte + Gallensäure
- Planung eines oralen Zuckertests, um auf EMS zu untersuchen + genauere Diagnostik der Leber
Verdachtsdiagnose: Equines Metabolisches Syndrom.
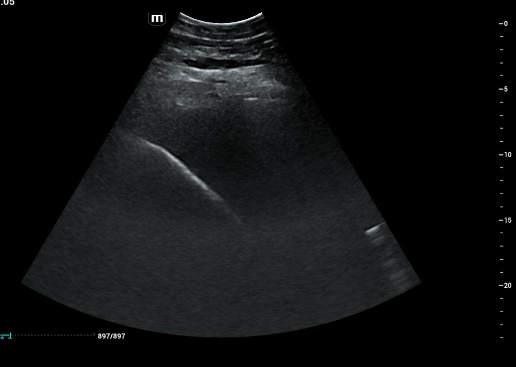
Weiterführende Untersuchungen
- Ultraschalluntersuchung der Leber aufgrund auffällig hoher Leberwerte im Blut
- möglicher Zusammenhang mit EMS/Übergewicht -> auch andere Ursachen bspw. Fettleber, Parasiten, Vergiftung denkbar
- Ultraschall lässt Verfettung der Leber vermuten
Verlauf
Charlotte wurde die kommenden Monate beobachtet. Sie erhielt folgende weiteführende Behandlungen:
- aufgrund eines starken Mangels Zufütterung von Vitamin-E und Selen
- Reduktion der Futtermenge auf 6-8 kg Heu pro Tag
- weitere Diagnostik des Stoffwechsels
Verlauf
Zustand März
Zustand Mai
Zustand Juni
Zustand Juli
Zustand August
Fotogalerie











