Magendilatation
– wenn eine starke Magenüberdehnung zu großen Problemen führt
Der 13-jährige Wallach „Dash“ (Name geändert) hatte vorberichtlich eine mäßig bis schlechte Raufutteraufnahme mit vielen Pausen beim Fressen. Er hatte rezidivierende Koliken und einen mäßigen Ernährungszustand. Darüber hinaus wies sein Darm Trägheit auf allen vier Quadranten auf. Sein Allgemeinbefinden war bei unserer Untersuchung geringfügig gestört.
Der Verdacht liegt auf einer Magendilatation.
Symptome einer Magendilatation:
- Kolikanzeichen
- Unruhe, Flehmen, Leerkauen, häufiges Gähnen
- verminderte Futter-/Wasseraufnahme, Pausen bei Futteraufnahme
- uvm.
Weiterführende Untersuchungen: Endoskopie
- verminderte Magenentleerung trotz 12h Nahrungskarenz
- erneute Gastroskopie nach insgesamt 24h Hungerphase
- weiterhin Futterball im Magen vorhanden
- Magenschleimhaut nur teilweise beurteilbar
- hochgradige Magengeschwüre in Drüsenschleimhaut sichtbar
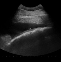
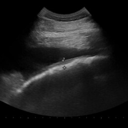
Weiterführende Untersuchungen: Ultraschall
- Magen physiologisch über drei Zwischenrippenräume darstellbar + runde Kuppel, gut abgrenzbar
- hier: Magenkontur über 6 Zwischenrippenräume darstellbar + Magenwand an Bauchwand anliegend
- Magen deutlich vergrößert
Diagnose: Chronische MagenentleerungsstörungHochgradige Magengeschwüre in Drüsenschleimhaut
Therapie:
- verschiedene Medikamente gegen Magengeschwüre
- Tabletten zur Unterstützung der Magenentleerung
- Verbesserung des Fütterungs- und Haltungsmanagements
Management:
- dauerhaft auf Späneneinstreu
- langsam gesteigerter Weidegang möglich
- lediglich Schrittbewegung an der Hand
- restriktive Heufütterung (max. 1,5kg/100kg KM)
- hochqualitatives blattreiches Heu aus Heunetzen, mehrere kleine Portionen über den Tag verteilt
- Zufütterung mit eingeweichten Heucops
- Aufwertung Energiezufuhr über max. 40ml Pflanzenöl pro Tag
- zusätzlich Weizenkleie, Leinsamenschleim und weitere Futtermittel
- Förderung Wasseraufnahme: handwarmes Wasser aus Eimern, ggf. 200g Weizenkleie auf 20l Wasser zur besseren Aufnahme
Der/Die Halter/in erhielten einen von uns erstellten, detaillierten Futterplan.
Verlauf:
- vorsichtige bis schlechte Prognose aufgrund der Magendilatation
- Gefahr einer Magenruptur gegeben
Wir empfehlen eine Kontrolle des Ausmaßes der Magendilatation per Ultraschall alle zwei Monate
Fotogalerie







