Lungenentzündung bei einem Ponywallach
– wenn Husten ernst wird
Unser Patient „Tom“ – ein 15-jähriger Ponywallach – wurde uns mit Fieber, therapierefraktärem Husten und Mattigkeit vorgestellt. Zudem zeigte er eine erhöhte Atemfrequenz und leichten Nasenausfluss.
Die Diagnose: Lungenentzündung mit bakterieller Beteiligung und Nachweis von EHV-5 (Equines Herpesvirus Typ 5).
Symptome: Woran erkennen Pferdebesitzer eine Lungenentzündung beim Pferd?
Eine Lungenentzündung (Pneumonie) beim Pferd äußert sich durch verschiedene Anzeichen, die ernst genommen werden müssen:
- Fieber
- Husten, teilweise trocken, teilweise feucht
- Nasenausfluss – wässrig, schleimig oder eitrig
- Erhöhte Atemfrequenz, Bauchatmung, Atemnot
- Leistungsabfall, Appetitlosigkeit, Mattigkeit
- Schmerzempfindlichkeit beim Abtasten des Brustkorbes
- Verschärfte Lungengeräusche beim Abhören
Bei Tom zeigten sich beidseitig verschärfte Lungengeräusche, erhöhter Puls und Fieber.
Ursachen: Wie entsteht eine Lungenentzündung beim Pferd?
Die häufigsten Ursachen sind:
- Bakterielle oder virale Infektionen (oft in Kombination)
- Sekundärinfektionen nach einer Virusinfektion
- Transportbedingte Pneumonie („shipping fever“)
- Aspiration (z. B. bei Schluckstörungen)
- Stress, Allergien, Immunschwäche oder schlechte Haltungsbedingungen
Bei Tom konnte eine Infektion mit EHV-5 nachgewiesen werden. Zusätzlich wurden bakterielle Erreger in den Atemwegen gefunden.
Diagnose: Wie wurde die Lungenentzündung festgestellt?
Zur Abklärung wurden mehrere Verfahren eingesetzt:
- Klinische Untersuchung mit Abhören der Lunge
- Endoskopie: Nachweis von zähviskösem Sekret in der Luftröhre
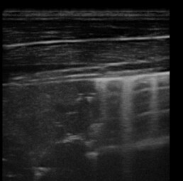
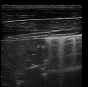
- Ultraschall: „Kometschweifartefakte“ als Hinweis auf Entzündungsprozesse
- Blutuntersuchung: stark erhöhte Entzündungswerte
- Virologische Tests: Nachweis von EHV-5
- Bakteriologie/Zytologie: Nachweis einer eitrigen Entzündung
- Röntgen (bei unzureichender Besserung): deutliche Verschattungen in der Lunge
Therapie: Behandlung der Lungenentzündung beim Pferd
Tom erhielt eine umfassende Therapie:
- Antibiotika nach Resistenztest
- Entzündungshemmende Medikamente
- Bronchienerweiternde Medikamente und Schleimlöser
- Haltungsoptimierung: staubarme Umgebung, gute Belüftung, Ruhe
Verlauf & Prognose
Trotz intensiver Behandlung zeigte Tom bei der Kontrolluntersuchung nach 14 Tagen nur eine unzureichende Besserung.
Das Röntgenbild ergab zusätzliche Veränderungen: Diagnose Equine multinoduläre pulmonale Fibrose (EMPF) – eine chronische Lungenerkrankung, die oft mit EHV-5 in Verbindung gebracht wird.
Die Therapie wurde um Cortison erweitert. Die Prognose bleibt jedoch vorsichtig bis ungünstig, da EMPF nicht vollständig heilbar ist.
Fazit: Husten beim Pferd immer ernst nehmen
Eine Lungenentzündung beim Pferd ist eine ernsthafte Erkrankung, die frühzeitig erkannt und konsequent behandelt werden muss.
Im Fall von Tom konnte die Infektion zwar eingedämmt werden, die zusätzliche Diagnose EMPF verschlechtert jedoch die Langzeitprognose. Für Pferdebesitzer gilt: Husten, Fieber oder Atemnot beim Pferd sind immer ein Notfall und erfordern sofort tierärztliche Untersuchung.





