Inflammatory Bowel Disease (IBD)

Vorbericht

Im Sommer 2020 wurde ein 16-jähriger Wallach mit Inflammatory Bowel Disease zur Folgeuntersuchung vorgestellt. Die Diagnose stellte 2018 eine Pferdeklinik. Der Wallach wurde zur Folgeuntersuchung vorgestellt, da er in letzter Zeit an Gewicht verlor und häufig liegend aufgefunden wurde. Daraufhin wurde er klinisch, labordiagnostisch (Kotuntersuchung) und sonographisch (Ultraschall vom Magen/Darm) untersucht. Eine Kollegin hatte zuvor eine hämatologische Untersuchung (Blutbild) gemacht.

Untersuchungsbefunde

  • Inflammatory Bowel Disease wurde klinisch bestätigt. Es lag eine entzündliche Darmerkrankung vor
  • Dysbiose (mikrobielle Fehlbesiedlung des Darmes) mit Beteiligung von fakultativ pathogenen Bakterien (diese sind nur schädliche für das Pferd, wenn es immungeschwächt ist)

Untersuchungsbefunde

  • deutlich verdickte Dünndarmschlingen
  • vermehrte Flüssigkeitsansammlung im Bauchraum
  • ein vergrößerter Magen mit einhergehenden Magengeschwür am Magenausgang (Magenulzera)
  • keine Verbesserungen ersichtlich im Vergleich zu vorherigen Untersuchungen
  • vermehrte pathogene Bakterienanzahl
  • ausgeprägte Dysbiose (mikrobielle Fehlbesiedlung des Darmes)
  • parasitologische Untersuchung war negativ

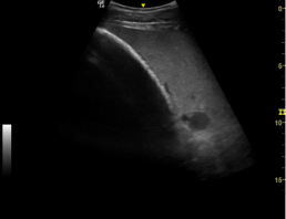
Wandverdickter Dünndarm dargestellt von unten, deutlich vermehrt freie Flüssigkeit im Bauchraum

Wandverdickter Dünndarm mit Messung der Wanddicke (Norm bis 4mm)

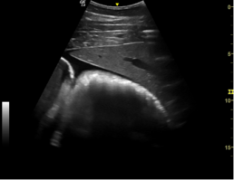
Rand des Magens (links im Bild), unauffällige Milz (rechts im Bild)

Leber (unauffällig-mittig im Bild), Dickdarmausschnitt (unauffällig) und vermehrt freie Flüssigkeit

Beurteilung

Unter dem Begriff „Inflammatory Bowel Disease (IBD)“ werden verschiedene chronische Darmerkrankungen beim Pferd zusammengefasst. Bei einer IBD wird aufgrund spezieller zellulärer Einlagerungen und Entzündungsprozessen in der Darmwand die Nährstoffaufnahme deutlich erschwert (Malabsorption), so dass infolge dessen unverdaute Nahrungsmittel in den Dickdarm transportiert werden und Durchfall entsteht. Zudem kann es zu Nährstoffmangelzuständen, Abmagerung, mangelnder Leistung, Blutveränderungen usw. kommen.
Zusätzlich liegt eine Störung des enteralen Immunsystems vor, was zu einer erhöhten Wurmbürde und einer bakteriellen Fehlbesiedelung des Darmes führen kann. Hierdurch entsteht ein Teufelskreis, wobei sich beides gegenseitig unterhält und verstärkt. Auch bei diesem Wallach ist nicht abschließend zu klären, ob die bakterielle Fehlbesiedelung des Darmes als beteiligte Auslöser oder als Folge der Darmerkrankung zu werten sind.

Therapieempfehlung

Therapeutisch empfiehlt sich ein Entzündungshemmer, der direkt ins Maul verabreicht werden sollte. Um den Verlauf optimal zu gestalten wird die Medikamentenvergabe angepasst und gegebenenfalls erhalten. Bei dieser Therapie besteht ein geringes Risiko eine Hufreheerkrankung auszulösen.

Zusätzlich sollte der Wallach unterstützend Präparate zur Heilung der Magen- und Dünndarmschleimhaut erhalten. Im Anschluss an die Therapie wird die Dysbiose behandelt mit spezifischen Kulturen die eine Verbindung mit den Bakterien eingehen (Synbiontenkulturen).

Zusätzlich empfiehlt sich folgendes Fütterungsregime:

Das Pferd sollte Gras und qualitativ hochwertiges Heu zur freien Verfügung erhalten. Als Kraftfutterkomponente empfiehlt sich mikronisierter Mais (max. 1 kg tgl.), Futterhaferflocken (max. 1 kg tgl.) und melassierte eingeweichte Zuckerrübenschnitzel (max. 2 kg tgl.) mit Sonnenblumen- und Leinöl (max. 300 ml tgl.). Zusätzlich darf das Pferd eingeweichte Luzerneheucobs erhalten.

Für die Darmflora und die Versorgung mit kurzkettigen Fettsäuren sollten dem Pferdefutter Flohsamenschalen (300 g/tgl.) zusetzt werden. Die Fütterungsumstellung sollte sehr langsam über 6 Wochen durchgeführt werden. Weiterhin wären mehrere kleine Mahlzeiten tgl. vorteilhaft.

Zur Mineralstoffversorgung sollte der Wallach zusätzlich ein hochwertiges Mineralfuttermittel, sowie einen Vitaminzusatz erhalten.

Das Pferd sollte vorerst lediglich sehr moderat belastet werden.

Die Prognose bei IBD (Inflammatory Bowel Disease) beim Pferd ist abhängig vom Schweregrad und dem Ansprechen auf die Therapie. Bei gut kontrollierbarem Verlauf kann eine Nutzung im Reitsport möglich sein, bei therapieresistenter oder chronisch verlaufender Form ist die Leistungsfähigkeit jedoch häufig dauerhaft eingeschränkt.