Herzmuskelentzündung beim Pferd
Was tun, wenn mein Pferd plötzlich umfällt?
Vorbericht
Vorgestellt wurde ein zwanzigjähriger Wallach nachdem er beim Reinholen vom Paddock unvermittelt niedergegangen war. Vorberichtlich war das Pferd klinisch unauffällig.
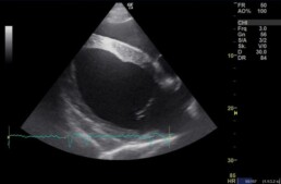
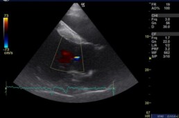
Untersuchungsbefunde (Herzultraschall)
Bei dem Wallach wurden eine klinische, elektro- und echokardiographische Untersuchung (EKG und Herzultraschall) des Herzens, sowie eine dopplerechokardiographische Untersuchung der Herzklappen durchgeführt. Auf eine elektrokardiographische Untersuchung unter Belastung wurde vorerst aufgrund der erhobenen Befunde verzichtet.
Im Rahmen der klinischen Untersuchung wurde ein Herzgeräusch und mehrere Funktionsstörungen der Herzklappen festgestellt. Der Herzmuskel des Wallachs wies ingesamt eine leichte Vergrößerung auf.
Im Rahmen der labordiagnostischen Untersuchung wurde zudem ein geringgradig erhöhter Troponin-I-Wert (Herzmuskelenzym), sowie ein erhöhter SAA-Wert (Entzündungswert) festgestellt.
Herzultraschall
Diagnosen
Subakute Myokarditits (Herzmuskelentzündung)
Herz-Klappen-Insuffizienzen (ungenügender Schluss der Herzklappe):
- mittelgradige Aortenklappeninsuffizienz
- mittelgradige Mitralklappeninsuffizienz
- geringgradige Trikuspidalklappeninsuffizienz
Beurteilung und Therapie
Aufgrund der erhobenen Befunde in Verbindung mit dem Vorbericht litt der Wallach zum Zeitpunkt des Niedergehens mit großer Wahrscheinlichkeit unter einer Synkope (Ohnmacht durch ungenügende Herzleistung). Hierbei handelt es sich um einen vorübergehenden Bewusstseinsverlust durch eine Sauerstoffmindervorsorgung des Gehirns, bedingt durch eine ineffiziente Herzaktivität. Vermutlich kam es bei dem vorgestellten Pferd infolge der Myokarditis zu einer Reizbildungsstörung des Vorhofmyokards (Vorhofmuskulatur) und in der Folge zu einem anfallsartigen Vorhofflimmern. Hierbei ist es den Herzvorhöfen aufgrund ihrer lediglich schwachen Bewegungen nicht mehr möglich effektiv zur Herzkammerfüllung beizutragen, was zu einer Minderdurchblutung des Gehirns und einer Synkope führen kann.
In Ruhe verursacht dauerhaftes Vorhofflimmern, an das der Körper sich einigermaßen adaptiert hat, meist keine Störung der Kreislauffunktion, da hier die Vorhofkontraktion nur einen geringen Beitrag zur Kammerfüllung leistet. Tritt es jedoch, wie bei diesem Wallach, unvermittelt auf, und wohlmöglich noch unter Belastung kann es zur Synkope führen. Bei dem vorgestellten Pferd liegen zusätzlich deutliche Rückflüsse an drei Herzklappen, sowie eine geringgradige Dimensionsveränderung (Herzvergrößerung) infolge einer Volumenüberlastung vor, was die Symptomatik verschlimmert.
Insgesamt ist die Prognose bei dem Wallach, insbesondere für die Reitbarkeit, als vorsichtig zu stellen. Das reiterliche Risiko kann jedoch erst abschließend im Rahmen von Kontrolluntersuchungen beurteilt werden.
Therapiemanagement
Das Pferd darf zum jetzigen Zeitpunkt nicht belastet werden. Jede Belastung kann erneut zu einer Reizleitungsstörung und somit zu einer Synkope führen.
Zur Herzentlastung und Verhinderung einer voranschreitenden Dilatation des Herzens erhielt er eine Medikation mit dem Wirkstoff Quinapril 20 mg (blutdrucksenkender Wirkstoff aus der Gruppe der ACE-Hemmer zur Entlastung des Herzens). Zur Entzündungshemmung erhält der Wallach zusätzlich eine ausschleichende Prednisolontherapie über 4 Wochen. Zur Verhinderung einer zusätzlichen bakteriellen Infektion erhält er zusätzlich eine antimikrobielle Therapie. Weiterhin hat sich in einigen Fällen die zusätzliche Gabe von Mikronährstoffen, wie z.B. coronal von navalis als hilfreich erwiesen.
Auf keinen Fall sollte das Pferd bis zur Nachuntersuchung unter dem Reiter belastet werden. Dies geht mit einem erheblichen Risiko für Mensch und Pferd einher. Vorsichtige Schrittbewegung an der Hand mit genügend Platz für die führende Person zum Ausweichen ist für fachkundige Personen, die um das Risiko wissen, möglich.
Bei klinischer Unauffälligkeit empfehle ich eine labordiagnostische Nachkontrolle in 2 Wochen und eine elektro- und echokardiographische Kontrolle in 6 Wochen durchführen zu lassen.




