EOTRH
–
Der 22-jährige Wallach „Fjalvard“ (Name geändert) hatte vorberichtlich seit längerer Zeit hgr. Schmerzhaftigkeit und Probleme beim Fressen. Er hatte Fisteln mit eitrigen Ausfluss an drei Schneidezähnen, von denen einer bereits gebrochen war. An den Schneidezähnen war sein Zahnfleisch gerötet und rückgängig.
Der Verdacht liegt auf Equine Odontoclastic Tooth Resorption and Hypercementosis (EOTRH).
Symptome von EOTRH:
- häufig schleichender Beginn
- Probleme beim Aufnehmen harter Lebensmittel (z.B. Möhren)
- Gewichtsverlust/verlängerte Fresszeiten
- vermehrter Speichelfluss/Zahngeruch
- sichtbare Zahnveränderungen: Fisteln/Rötungen/Lockerung/Rückgang/Zahnfleisch o.ä.
Ursachen von EOTRH:
- noch nicht vollständig geklärt
- vermutlich multifaktoriell
- mögliche begünstigende Faktoren:
- Alter (meist Pferde über 15 Jahre betroffen)
- mechanische Belastung/Fehlbelastung
- Stoffwechselveränderungen
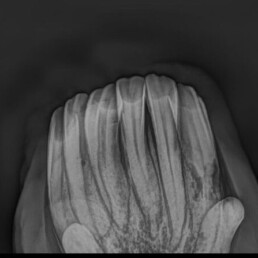
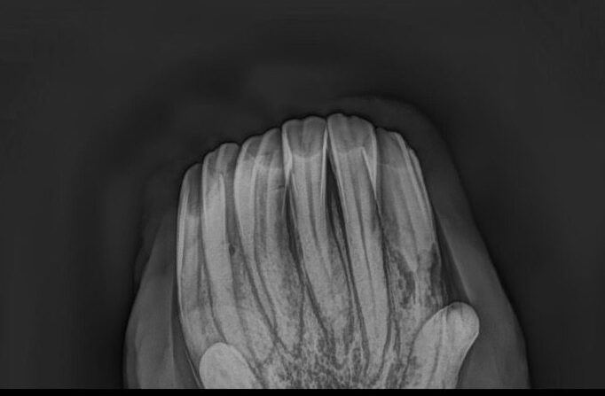
Weiterführende Untersuchungen: Röntgen
- röntgenologische Untersuchung zur Bestätigung der Verdachtsdiagnose EOTRH
- deutliche Befunde erkennbar
- resorptive und hyperzementotische Veränderungen an den Schneidezähnen/Schneidezahnwurzeln
Weiterführende Untersuchungen: Endoskopie
- endoskopische Untersuchung der Harnröhre sowie Harnblase
- Abziehen des gesamten Harns zur besseren Beurteilung der Harnblasenschleimhaut, etc.
- Harn ist deutlich viskös und dunkelgelb/bräunlich verfärbt
- deutliche Sedimentablagerungen in Blase und im abgenommenem Harn erkennbar
- an mehreren Stellen Rötung der Schleimhaut erkennbar
Diagnose: Equine Odontoclastic Tooth Resorption and Hypercementosis (EOTRH)
Therapie:
- zunächst regelmäßige Zahnbehandlungen
- Verlaufskontrollen der Schneidezahnveränderungen
- Beobachten der Fisteln/Schmerzhaftigkeit der Schneidezähne/Zahnfleisch
- nach gewisser Zeit: Zahnextraktion der vier schmerzhaftesten und am stärksten betroffensten Schneidezähne
Verlauf:
- Gabe von Schmerz- und Entzündungshemmern nach der Extraktion
- deutliche Besserung der Schmerzhaftigkeit/des Wohlbefindens nach wenigen Tagen, weiterhin in Abteilung
- weitere Beobachtung der verbliebenen Zähne
- weiterhin regelmäßige Zahnbehandlungen und Kontrollen
Fotogalerie












