Aortenklappeninsuffizienz
–
Der 16-jährige Wallach „Blue“ (Name geändert) wurde vorberichtlich seit wenigen Monaten bei Belastung rascher Müde. Bei einer routinemäßigen Impfung wurde darüber hinaus eine Askultation des Herzens durchgeführt, wo Herzgeräusche des Grades 4/6 (lauter als physiologische Herztöne) festgestellt wurden. Sein Allgemeinzustand war ansonsten ungestört.
Wir führen weitere Untersuchungen des Herz-Kreislauf-Systems durch, um zu einer Diagnose zu kommen.
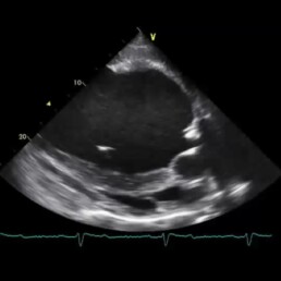
Weiterführende Untersuchungen: Ultraschall
- Darstellung des Herzens (in verschiedenen Ebenen) und des Blutflusses
- nicht vollständig schließende Aortenklappe sichtbar
- pathologische Verwirbelungen des Blutflusses
- nach Messung Vergrößerung der linken Herzkammer
Weiterführende Untersuchungen: EKG
- Beurteilung des Herzrythmus in Ruhe und in Belastung
- Trab für 10 Minuten, Galopp für 5 Minuten, danach eine Ruhephase
- dauerhafte Beobachtung des Pferdes mit anschließendem EKG
- keine Feststellungen von Arrhythmien oder sonstigen Auffälligkeiten
Diagnose: hochgradie Aortenklappeninsuffizienz, mittelgradige Vergrößerung linker Ventrikel (sekundär)
- „undichter“ Verschluss der Aortenklappe, Rückfluss von Blut aus Aorta in die linke Herzkammer
- langfristige Volumenüberlastung des linken Ventrikels, Folgeerkrankungen (z.B. Herzvergrößerung)
Symptome einer Aortenklappeninsuffizienz:
- lange symptomlos, v.a. bei milden Formen
- Leistungsminderung, rasche Ermüdung bei Belastung
- Herzgeräusch
- in fortgeschrittenen Fällen: Arrhythmien, Husten, Ödeme, Atemnot, Synkopen (Kreislaufzusammenbrüche)
Ursachen einer Aortenklappeninsuffizienz:
- degenerative Veränderung der Aortenklappe (häufigste Ursache)
- angeborene Fehlbildungen
- bakterielle Klappenentzündung
- sekundär infolge anderer Herzveränderungen
Therapie:
- Anpassung der Bewegung, keine extremen Leistungen mehr
- Gabe eines ACE-Hemmers zur Eindämmung der Insuffizienz
- sonographische Kontrolle in einem halben Jahr
Verlauf:
- vorsichtige Prognose
- aufgrund Vergrößerung der linken Herzkammer -> reiterliches Risiko gegeben
- Gefahr einer Arrhythmie, Kollaps unterm Reiter
- weiterhin regelmäßige Kontrollen zur individuellen Anpassung der/des Medikation/Bewegungsprogramms
Fotogalerie













